Patellar tendon ruptures are uncommon but serious injuries with a reported incidence of 0.68 per 100,000 individuals annually.1 These injuries result in significant functional impairment; complete ruptures are typically characterized by an inability to extend the knee and are often associated with patella alta.2,3 The management of patellar tendon rupture becomes considerably more complex in patients with prior knee surgeries and procedures, such as total knee arthroplasties (TKA).4 In such cases, compromised tissue quality, altered anatomy, and mechanical factors increase the risk of repair failure.5
Case Description:

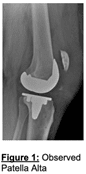
A 57-year-old male with a history of morbid obesity, bilateral total knee arthroplasty (TKA), and other medical conditions including hypertension, degenerative disc disease, and asthma, presented with a complete rupture of the left patellar tendon. The injury occurred six weeks after a left TKA, following a ground-level fall in his yard that resulted in a hyperflexed knee and a rapid eccentric contraction of the quadriceps. Examination revealed significant swelling, anterior knee tenderness, and a complete inability to actively extend the knee, with 0/5 strength in extension. Radiographs showed patella alta, suggesting a complete patellar tendon tear, while the femoral, tibial, and patellar components of the TKA remained well fixed. Additional patient factors complicated the case, including a history of long-term testosterone replacement therapy, steatosis of the liver, and prior surgeries, which may have influenced tissue quality and healing capacity. Objective findings included limited knee range of motion (extension lag of 4 degrees and flexion limited to 24 degrees), significant joint line edema (+9 cm), and adequate quadriceps activation despite the rupture.
Surgical Summary:

The surgical procedure began with a midline knee incision to expose the quadriceps and patellar tendons, confirming a complete tear of the patellar tendon with resultant patella alta. To address the significant tension on the tendon, a V-Y quadricepsplasty was performed, allowing for approximately 2 cm of tendon lengthening. The patellar tendon was repaired using a combination of Krackow sutures and suture anchors to reattach the tendon securely to the inferior pole of the patella.
To reinforce the repair, a posterior tibial tendon (PTT) allograft was prepared and tubularized alongside a BioBrace construct. This augmentation was integrated by passing it through tunnels in the medial and lateral patellar retinaculum and securing it to the proximal tibia with additional anchors distal to the original tear site. Once the repair and augmentation were complete, the paratenon was closed over the repair, and the skin and subcutaneous tissues were sutured in layers.
Post-Operative Rehabilitation:
At two weeks, however, the patient transitioned himself to an Icarus Medical patellofemoral unloader brace despite the senior surgeon’s recommendations. The brace has an adjustable tensioning system that provides dynamic extension-assistance. When maximally tensioned, the patient ambulated with the knee fully extended. However, the patient was able to reduce the tension in the brace to allow for quadriceps-unloaded flexion. Remarkably, at 6 weeks, the patient had full active extension with no lag and flexion to 90 degrees. He was instructed to continue weight bearing with the knee brace tensioned to assist with extension and reduce stress on the surgical site. Bibliography:
- Fredericks, D. R. et al. Incidence and Risk Factors of Acute Patellar Tendon Rupture, Repair Failure, and Return to Activity in the Active-Duty Military Population. Am. J. Sports Med. 49, 2916–2923 (2021).
- Fazal, M. A., Moonot, P. & Haddad, F. Radiographic Features of Acute Patellar Tendon Rupture. Orthop. Surg. 7, 338–342 (2015).
- Patellar Tendon Rupture – StatPearls – NCBI Bookshelf. https://www.ncbi.nlm.nih.gov/books/NBK513275/.
- Li, T.-J. et al. Early patellar tendon rupture after total knee arthroplasty: A direct repair method. World J. Clin. Cases 10, 11349–11357 (2022).
- Osei, D. A., Rebehn, K. A. & Boyer, M. I. Soft-tissue Defects After Total Knee Arthroplasty: Management and Reconstruction. J. Am. Acad. Orthop. Surg. 24, 769–779 (2016).